Sobre mí

Conoce más sobre mí


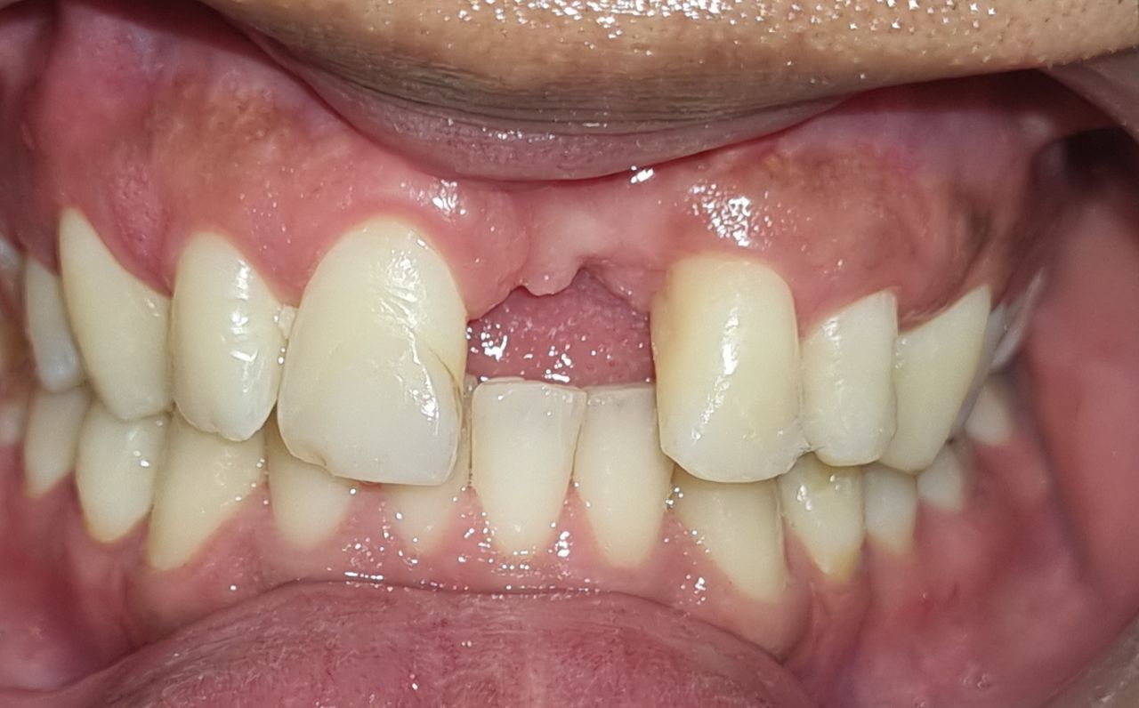
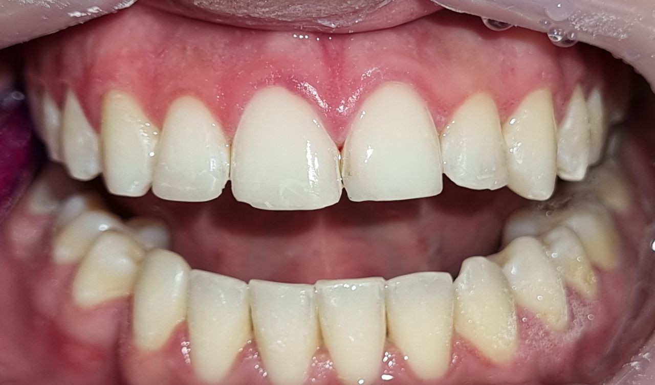
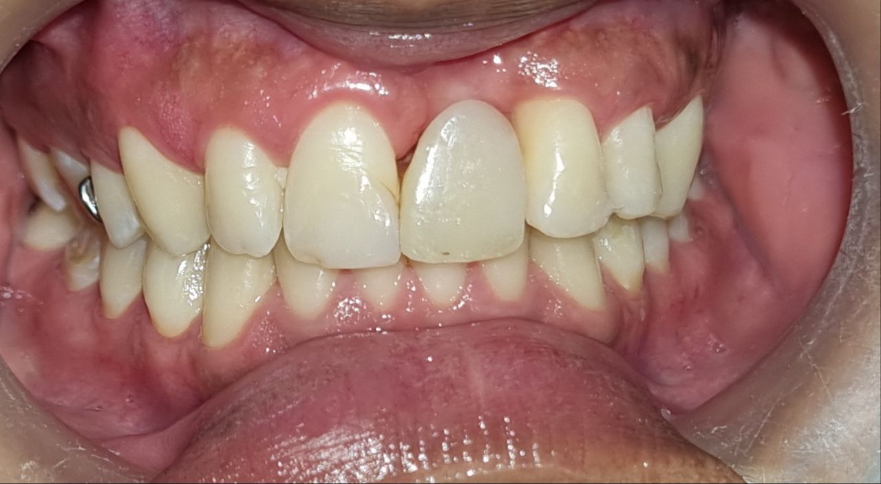
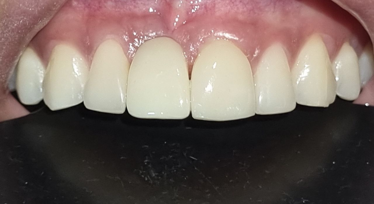
Soy odontóloga con más de 10 años de experiencia dedicada al cuidado integral de la salud oral. Especialista en rehabilitación oral, enfocada en el tratamiento del sistema estomatognático y en devolver sonrisas sanas, armónicas y estéticamente naturales.
Porque no solo devolvemos sonrisas, ayudamos a recuperar la confianza y la seguridad en cada momento de tu vida.

Especialidades

  • Rehabilitación Oral
  • Odontología Estética

Formación

  • UNIVERSIDAD EL BOSQUE DIPLOMADO DE ESTETICA Y REHABILITACION
  • UNIVERSIDAD UNICOC ESPECIALIZACION EN REHABILITACION ORAL 2022-2023
  • FUNDACION UNIVERSITARIA SAN MARTIN , PREGRADO 2010 -2015
  • DIPLOMADO IMPLANTOLOGIA Y REHABILITACION SOBRE IMPLANTES , PANESSO Y ASOCIADOS 2015

Idiomas

  • Español

Enfermedades tratadas

  • Bruxismo
  • Diente roto
  • Pigmentación dental
  • Problemas en articulación temporomandibular
  • Implantes dentales
  • Discrepancias de los maxilares
  • Estomatitis Candidiasica
  • Faringoamigdalitis Herpética
  • Gingivitis
  • Gingivoestomatitis Herpética
  • Hendiduras orales-faciales
  • Hiperplasia Epitelial Focal
  • Malformaciones Congénitas de la Lengua, la Boca y la Faringe
  • Malposiciones dentales
  • Odontalgia
  • Pénfigo
  • Periodontitis
  • Pulpitis
  • Queilitis Angular
  • Recidiva de tratamientos de Ortodoncia
  • Traumatismo dentoalveolar
  • Tumor Benigno de la Boca
  • Tumor Maligno de la Encía
  • Tumor Maligno de la Lengua
  • Tumor Maligno del Paladar
  • Verruga Bucal Vulgar
  • Caries dental
  • Periimplantitis
  • Pérdida de hueso
  • Implante dental enfermo
  • Absceso periodontal
  • Diente perdido
  • Diente flojo
  • Sangrado de encía
  • Mal aliento
  • Inflamación de encía
  • Dolor de muela
  • Dientes torcidos
  • Dientes apiñados
  • Dolor en la mandíbula
  • Problemas para abrir la boca
  • Dolor al masticar
  • Dolor dental
  • Encías inflamadas
  • Ausencia dental
  • Pericoronitis
  • Raíces abandonadas
  • Alveolitis
  • Síndrome de Sjögren
  • Leucoplasia Oral
  • Hemangioma Oral
  • Candidiasis Oral
  • Úlceras Bucales
  • Úlceras Orales
  • Melanoma Maligno Oral
  • Herpes Labial
  • Eritema Multiforme
  • Úlceras Aftosas
  • Liquen Plano Oral
  • Estomatitis Aftosa Recurrente
  • Síndrome de Boca Ardiente
  • Boca Seca
  • Dolor en la Lengua
  • Ardor en la Lengua
  • Xerostomía
  • Abceso dental
  • Alteraciones del desarrollo dental
  • Anomalías dentales

Contacto

Ponte en contacto conmigo en las instalaciones que más te convengan!


ODONTOLOGIA ESPECIALIZADA DRA JENNY ZUÑIGA

Cra. 88g 49 11
110711 Bogotá, Cundinamarca
Llame al especialista

¡Seleccione la fecha apropiada y concierte una cita!

CONSULTA VIRTUAL DRA JENNY ZUÑIGA



Llame al especialista

¡Seleccione la fecha apropiada y concierte una cita!

DRA MAROLI BETIN ORTODONCISTA

Cra. 88g
110711 Bogotá, Cundinamarca
Llame al especialista

¡Seleccione la fecha apropiada y concierte una cita!

Precios

Cuánto cuestan mis servicios?


Visita Odontología Sin especificar
Microdiseño Desde 240000 $
Periodoncia Desde 100000 $
Periodoncia e implantes dentales Desde 980000 $
Sesiones de fluor Desde 25000 $
Diseño de sonrisa Desde 240000 $
Control Ortodoncia 65000 $
Ortodoncia Desde 60000 $
Implantes dentales Desde 980000 $
Gingivectomia Laser Desde 90000 $
Aclaramiento - blanqueamiento dental 380000 $
Coronas en zirconio, libres de metal Sin especificar
Exodoncia en niños Sin especificar
Exodoncias de cordales Sin especificar
Limpieza dental Sin especificar
Obturaciones en resina de fotocurado Sin especificar
Consulta en línea 50000 $
Bruxismo Desde 100000 $
Brackets de autoligado Desde 1800000 $
Brackets cerámicos Desde 950000 $

Opiniones de los pacientes

Echa un vistazo a los comentarios de mis pacientes


Muy agradecida por cumplimiento, y la atención muy buena
Paciente
Paciente
Trato cordial , personal muy profesional y excelente servicio
Paciente
Paciente
Odontóloga muy profesional y detallista en su trabajo, la amabilidad y la seguridad en su trabajo brinda tranquilidad a sus pacientes
Paciente
Paciente
Una explicación detallada aclararon todas mi dudas
Paciente
Paciente
10/10 la chica que me atendió super me explicó detalladamente todo el proceso y lo que toca hacer
Paciente
Paciente
Excelente servicio y muy lindos los tratamientos que realizan
Paciente
Paciente
Buen servicio y atención, puntuales y fueron amables en todo momento.
Paciente
Paciente
Puntualidad a la hora de la extracción Explicación del procedimiento
Paciente
Paciente
Contento por que el tratamiento de ortodoncia va muy bien
Paciente
Paciente
Muy buen servicio , y muy buena la atención de las doc.
Paciente
Paciente
Me gustó mucho la atención de la recepción y de la doctora que me atendió, muy profesional. Gracias por la atención
Paciente
Paciente
Genial, Excelente Trabajo Y Muchísima Dedicación..
Paciente
Paciente
Excelente atención muy delicada y profesional la doctora,
Paciente
Paciente
Me gusta la atención y profesionalismo y el tiempo que dispone
Paciente
Paciente
Atencion impecable e inmejorable, durante cualquier visita siempre es la mejor atención
Paciente
Paciente
Excelente servicio de inicio a fin, todas las doctoras son super atentas :)
Paciente
Paciente
Muy profesionales y dedicados, se nota que aman lo que hacen; nunca me habían realizado una limpieza con tanto detalle.
Paciente
Paciente
Excelente atención y profesionalismo ! Explicaron muy bien.
Paciente
Paciente
Excelente atención, servicio muy profesional la verdad fue muy grato para mí todo el proceso, te explican paso a paso lo que te van a realizar y son muy amables. TOTALMENTE SATISFECHA
Paciente
Paciente
Super la Doctora El servicio es muy exelente volveré
Paciente
Paciente
Excelentes profesionales con calidad humana y puntualidad
Paciente
Paciente
Excelente atención, muy aseado muy práctico me parece una excelente opción de odontólogia
Paciente
Paciente
Muchas gracias muy buena su atención gracias dios las bendiga
Paciente
Paciente
Gracias por el tratamiento recibido, mi hija no tuvo dolor y el trato humano fue excelente, la recuperación va muy bien.
Paciente
Paciente
Muy buen servicio, buena atención, explican muy bien el procedimiento.
Paciente
Paciente
Queremos resaltar que la doctora se tomó el tiempo de explicar detalladamente el tratamiento, lo cual le dio mucha confianza a mi niño. Él es nervioso y gracias a su trato, se dejó revisar y tratar sin ninguna complicación.
Paciente
Paciente
Muy buen servicio y exelente atención. ...............
Paciente
Paciente
No tengo ninguna queja, todo muy excelente Y el procedimiento no fue nada incómodo
Paciente
Paciente
El servício y profesionalismo de la Dra Jenny Zúñiga es excelente, su dedicación y detalle durante cita fue relevante para determinar el mejor tratamiento y resultado. Gracias a la Dra Jenny he mejorado mi estado de salud dental y con su calidad humana he mejorado mi manejo del temor a las sesiones de odontologia, mas que recomendada.
Paciente
Paciente
Excelente profesional . Lo resumo en q para donde vaya la seguiré para q me atienda. Realmente 100% recomendada
Paciente
Paciente
Muy buena la atención exelente servicio, cuentan con personas experimentadas y profesionales
Paciente
Paciente
Buena atencion y disposición, aclararon todas mis dudas
Paciente
Paciente
Es una excelente odontóloga, reconocida por su dedicación y profesionalismo. Atiende con esmero a toda mi familia, incluso al abuelo, con paciencia y respeto. Su compromiso va más allá de la técnica: cuida del dolor de cada paciente. La sensibilidad y entrega con que ejerce su labor reflejan su calidad humana. Su presencia brinda confianza y tranquilidad en cada consulta.
Paciente
Paciente
La Doc. Zuñiga es excelente, tiene mucha paciencia, con mi hijo es asombrosa, le ve sus dientecitos desde que es chiquis, le tiene mucha paciencia…
Paciente
Paciente
El tratamiento de las coronas que la Dra Jenny me realizó fue excelente,. . Estoy muy contenta porq me permitió volver a sonreír.
Paciente
Paciente
Excelente atención y resultados maravillosos, me sentí en confianza desde el primer día. Gracias.
Paciente
Paciente
Buen servicio de odontología para los pacientes, súper
Paciente
Paciente
Excelente. Buen servicio.... Un manejo especial con los niños.. Recomenda...Con buena actitud...
Paciente
Paciente
Explicación sobre el tratamiento q se va hacer para el cuidado de la muela
Paciente
Paciente
Es un excelente servicio, muy buena atención al cliente, gracias por su dedicación
Paciente
Paciente
La doctora Jenny Zúñiga es una excelente odontóloga: profesional, amable y muy cuidadosa. Explica todo con claridad y hace que cada consulta sea cómoda y segura. Totalmente recomendable por su calidad humana y su dedicación.
Paciente
Paciente
Tuve una experiencia excelente con la doctora. Su trato es siempre amable, paciente y muy profesional, lo que me hizo sentir tranquila desde el primer momento. Se nota su dedicación y el amor por lo que hace, porque los resultados superaron mis expectativas. Salí muy satisfecha con todo el proceso. Sin duda, una odontóloga altamente recomendada.
Paciente
Paciente
Un buen trato ante las personas buena higiene todo muy organizado para atender
Paciente
Paciente
Amabilidad, muy buena disposición adicional buen trato al cliente
Paciente
Paciente
Muy profesional! Explicaciones muy concretas y puntuales.
Paciente
Paciente
Todo es excelente, la atencion dedicacion y empatia con la que prestan el servicio.
Paciente
Paciente
La forma de atender es muy buena y la atención excelente
Paciente
Paciente
Estoy muy satisfecha con el resultado de mi tratamiento dental, gracias a eso pude volver a sonreír. La atención y el profesionalismo resaltan en todo el equipo. Gracias
Paciente
Paciente
Muy Satisfecha con la atención Ya que con manera muy detallada me explicaron cada paso
Paciente
Paciente
Atención excelente, calidad humana, muy buen servicio, instalaciones perfectas, muy profesional la doctora Yenny Paola... me siento muy bien atendido. Gracias bendiciones.
Paciente
Paciente
Seguir como van la atención es excelente con la puntualidad
Paciente
Paciente
Excelentes profesionales y personas, un ambiente super grato y familiar.
Paciente
Paciente
Me siento muy satisfecho con la atención recibida en la clínica odontológica. Desde el momento en que llegué, el personal es muy amable, atento y profesional. Las instalaciones son limpias, modernas y transmiten confianza.
Paciente
Paciente
Excelente experiencia,muy profesionales y muy recomendados
Paciente
Paciente
Brindan un buen servicio, realizan el proceso adecuado según el tratamiento a realizar, en mi experiencia quedó contenta con los resultados, cumplió mis expectativas, ahora sonrió con confianza.
Paciente
Paciente
Recibí un buen servicio, la doctora que me atendió fue muy paciente y me brindo acompañamiento y tranquilidad en mi procedimiento.
Paciente
Paciente
Excelente atención detallada para llevar a cabo un buen servicio
Paciente
Paciente
Mi tratamiento de ortodoncia fue muy bien realizado, me gustaron mucho los resultados obtenidos, excelente profesional la ortodoncista, y los los otros procedimientos que me ha realizado la odontologa igual de satisfecho
Paciente
Paciente
Tiene buena atención y explica con detalles 10/10 Son delicados con los clientes
Paciente
Paciente
Estoy muy satisfecha con la atención que he recibido en esta clínica odontológica. Desde el primer día de mi proceso de ortodoncia, el trato ha sido excelente: el equipo es muy profesional, amable y siempre dispuesto a resolver mis dudas. Me explican cada paso del tratamiento con claridad y se nota el compromiso por lograr los mejores resultados La nueva ortodoncista es la mejor del mundo
Paciente
Paciente
Excelentes profesionales, gracias por la atención prestada a mi mamá, salió tranquila y contenta con su tratamiento.
Paciente
Paciente
Excelente servicio y cumplimiento de horarios, dan información detallada de los procedimientos
Paciente
Paciente
Expreso mi más sincero agradecimiento por el tratamiento recibido de la Doctora Jenny. He experimentado una transformación significativa en mi sonrisa, la cual refleja su profesionalismo y dedicación a su práctica. Considero que tengo una nueva sonrisa gracias a sus servicios, lo que ha resuelto un complejo que he cargado durante muchos años. Extiendo mi más profunda gratitud a la Doctora Jenny y a su equipo de trabajo por su excelente labor.
Paciente
Paciente
La Dra Jenny me realizó varios procedimientos y me encantó la atención en cada uno. Es muy paciente y clara con la explicación de los tratamientos… súper recomendada !
Paciente
Paciente

¿Quieres concertar una cita? Haz clic aquí para hacerlo!